矯正歯科
矯正歯科治療とは乱れた歯並びや噛み合わせを正しい位置へ
ゆっくりと動かしていく治療法のことです。
なぜ矯正治療が必要かと言うと、歯並びや噛み合わせはもちろん、顎の発育・発音・肥満・頭痛など体に悪い影響を与えてしまうからです。
歯並びが悪いことでストレスを感じそれがコンプレックスになる場合ございます。
当院では矯正の専門医が治療を行いますので
お気軽にお問い合わせください。
矯正歯科治療とは乱れた歯並びや噛み合わせを正しい位置へ
ゆっくりと動かしていく治療法のことです。
なぜ矯正治療が必要かと言うと、歯並びや噛み合わせはもちろん、顎の発育・発音・肥満・頭痛など体に悪い影響を与えてしまうからです。
歯並びが悪いことでストレスを感じそれがコンプレックスになる場合ございます。
当院では矯正の専門医が治療を行いますので
お気軽にお問い合わせください。
| 名称 | 歯の状態 |
| 上顎前突 | 出っ歯 |
| 下顎前突 | 反対咬合・下顎が前に出ている受け口 |
| 叢生 | 乱杭歯・歯が正しい方向に生えていない、がたがたな歯並び |
| 開咬 | 歯の一部でしか咬めず、上下の歯が扇上に開いていているもの |
| 埋伏歯 | 歯が埋まった状態のもの |
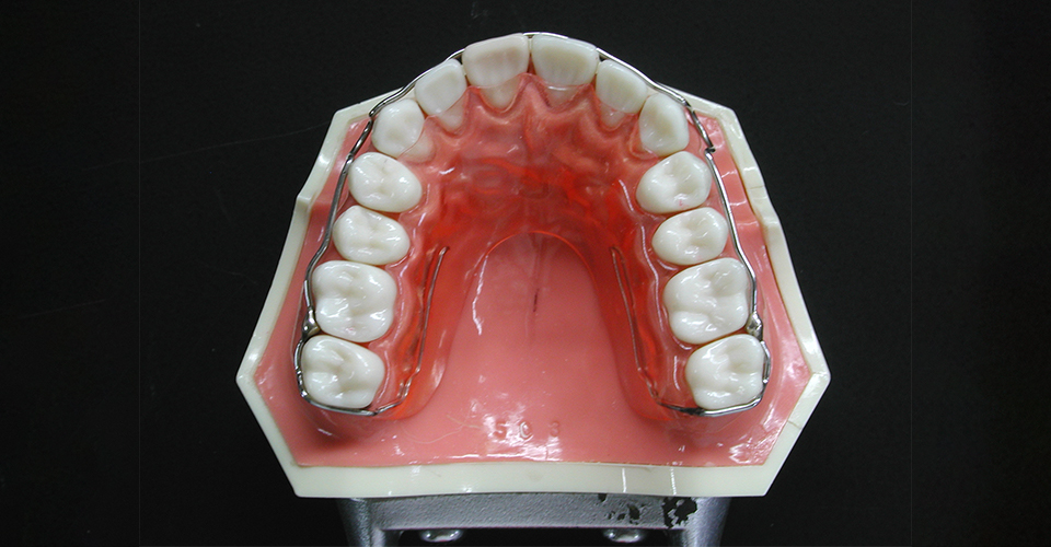
歯に装着する装置は固定する装置と、取り外し可能な装置がございます。
永久歯列の場合には、取り外しができない装置になります。
装置使用時の注意点1(痛みについて)
装着する装置は歯を正しい方向に動かすための装置です。
歯が正しい方向に動きはじめると痛みが出る場合があります。
痛みには個人差がありますが、3日~7日ほどで痛みはなくなります。
装置使用時の注意点2(食事について)
※1、りんごやおせんべい、固い生野菜のまるかじりなどは控えてください。
装置が変形してしまう場合があります。
※2、キャラメルやガムなどの、歯に粘着しやすい食べ物は治療中なるべく我慢するようにしてください。
装置が変形したり、外れる場合があります。
※3、コーヒーや紅茶、カレーやケチャップなど、歯に着色しやすいものをお口に入れると装置が変色してしまいます。
装置が変色するとお口の中が不衛生に見えてしまいますので、食事後はしっかりと歯磨きするようにしてください。
Step1:カウンセリング
治療前にまずどの部分をどう治したいのか?ご希望をお聞かせください。
この時点で大まかな治療期間・治療内容・費用などをご説明します。
治療に対する不安や疑問など、色々と心配されることがあると思います。
そのような不安が解消されるまで丁寧にご説明します。
Step2:検査
虫歯や歯周病検査、歯型採り、レントゲン撮影などを行います。
痛みを伴う検査ではありませんのでご安心ください。
Step3:治療計画
検査結果をもとに最適な治療計画を提案していきます。
治療内容にご納得いただけましたら治療開始です。
Step4:矯正装置の装着
矯正装置を装着します。
装着後は月に1度ほど通院していただき、お口の中の状態をチェックしたり装置の調整を行ったりします。
Step5:歯磨き指導
矯正装置を装着していると歯磨きがしにくくなり磨き残しが多くなる場合があります。
矯正装置を付けていてもきちんと歯を磨ける正しい歯磨き方法の指導も行っています。
Step6:メインテナンス
矯正装置を外した後、歯は元の位置へ戻ろうとします。
理想的な位置で歯を安定させるために、1年ほどは保定装置(取り外し可)を装着してその動きを防止します。
その後、数ヶ月に1回のペースで来院していただき経過を診ていきます。
矯正装置を外した歯は、そのままにしておくと元の位置に戻ろうとします。
正しい位置に歯をしっかりと固定させるため、
保定装置リテーナーという装置を使用し歯をしっかりと固定させます。
はじめは話づらかったり違和感を感じると思いますが、
2日~3日で慣れてきます。
リテーナーには固定式と取り外し可能なものがあります。
どちらを使用するのか、どのような違いがあるのか、
しっかりとご説明いたします。
きれいな歯並びは心の健康にもとても大切です。
矯正に予約は随時受け付けておりますので、お気軽にお電話ください。
TEL:03-3338-4510
| トップ | 院長挨拶 | 設備紹介 | 地図 | Q&A |
| 一般歯科 | 矯正歯科 | 審美・ホワイトニング |
〒 165-0035 東京都中野区白鷺1-30-6 深澤ビル1F TEL:03-3338-4510 https://www.saginomiya-dc.com/
Copyright 2010 鷺ノ宮駅南口歯科 All Rights Reserved
1111-11-1111